RECEDING GUMS
- Dr. Tooth
- Mar 13, 2024
- 2 min read
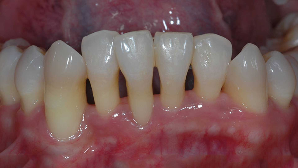
Receding gums, or gingival recession, is a common dental issue that affects many people. It happens when the gum tissue that surrounds and supports the teeth pulls back, exposing the tooth’s root. This can lead to tooth sensitivity, decay, and other dental problems. In this article, we’ll explore the common causes of receding gums, its symptoms, and ways to prevent it.
Causes of Receding Gums
There are several reasons why gums can recede, including:
Gum Disease: Gum disease is the leading cause of receding gums. It happens when the gums become infected and inflamed due to the buildup of plaque and tartar. Over time, gum disease can damage the bone and tissue that hold teeth in place, causing the gums to recede.
Brushing Too Hard: Brushing your teeth too hard or using a toothbrush with hard bristles can cause the gums to recede. This is because the excessive force can wear down the gum tissue over time.
Genetics: Some people may be more susceptible to receding gums due to genetics. If your family members have receding gums, you may be at a higher risk.
Hormonal Changes: Hormonal changes that occur during pregnancy, menopause, or puberty can make gums more sensitive and prone to receding.
The symptoms of receding gums may vary, depending on the severity of the issue. Here are some common symptoms to look out for:
Tooth sensitivity, especially to hot or cold temperatures.
Teeth that appear longer than usual.
Discoloration or darkening of the teeth.
Gum recession or a notch near the gum line.
Bad breath or a bad taste in the mouth.
Prevention of Receding Gums
Fortunately, there are several ways to prevent receding gums:
Practice Good Oral Hygiene: Brush your teeth twice a day and floss daily. This helps remove plaque and tartar buildup that can lead to gum disease and receding gums.
Use a medium-Bristled Toothbrush: Using a toothbrush with soft bristles can help prevent gum damage and receding.
Quit Smoking: Smoking can increase the risk of gum disease, which can lead to receding gums.
Visit the Dentist Regularly: Regular dental checkups can help detect and treat dental issues, such as gum disease and receding gums, before they become more severe.
Eat a Balanced Diet: Eating a diet that is rich in vitamins and minerals can help keep your teeth and gums healthy.
Treatment for Receding Gums
If you already have receding gums, your dentist may recommend treatment depending on the severity of the issue. Some common treatments include:
Scaling and Root Planing: This is a deep cleaning procedure that removes plaque and tartar buildup below the gumline.
Gum Graft Surgery: In this procedure, your dentist will take gum tissue from another part of your mouth and attach it to the affected area to cover the exposed root.
In Conclusion
Receding gums can be a painful and worrying issue, but it’s important to remember that it can often be prevented with good oral hygiene, regular dental checkups, and a healthy lifestyle. By taking care of your teeth and gums, you can help keep them healthy and prevent receding gums. If you do experience receding gums, visit your dentist as soon as possible to ensure the best possible treatment.












Comments